Autoridades de saúde locais suspeitam de que ela foi vítima de uma tentativa de infantícidio praticada pelos pais logo depois de nascer
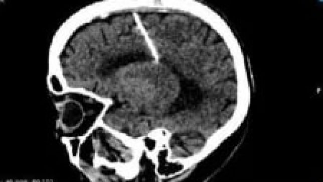
Uma idosa de 80 anos moradora do interior da Rússia descobriu que passou praticamente a vida inteira com uma agulha de 3 centímetros de comprimento enfiada em seu cérebro.
O achado inesperado ocorreu quando ela realizava um exame de tomografia. Os médicos suspeitam que ela tenha sido vítima de uma tentativa de infanticídio.
Veja também

Drag queen é presa por se vestir de Jesus Cristo e rezar o Pai-Nosso em apresentação
Mega-Sena pode pagar R$ 3 milhões neste sábado
COMO A AGULHA FOI PARAR LÁ?
A idosa nasceu nos anos 1930, um período de alta escassez de alimentos na Rússia. Os médicos acreditam que os pais tentaram matá-la quando ela ainda era bebê por medo de não conseguirem alimentá-la.
“Estes casos de infanticídio não eram incomuns no período da grande fome”, disse a secretaria de saúde da região de Sakhalin, em um comunicado no Telegram.
A agulha foi colocada no cérebro através da moleira. Com o desenvolvimento da criança, os ossos da região do crânio se fecharam e ela não ficou com nenhuma cicatriz. O artefato não afetou o desenvolvimento da mulher.
Curtiu? Siga o PORTAL DO ZACARIAS no Facebook, Twitter e no Instagram.
Entre no nosso Grupo de WhatApp e Telegram
Os médicos decidiram que não removerão o objeto, considerando que a cirurgia poderia trazer riscos à vida da idosa.
Fonte:Metrópoles