Apenas 56 casos como este foram registrados, diz revista americana
Um homem de 44 anos desenvolveu um coágulo de sangue no pênis que causou ereções durante dois dias após uma corrida prolongada. O caso aconteceu na Eslováquia. A complicação causou dores no maratonista amador, que procurou o hospital apenas dois dias depois do início dos sintomas.
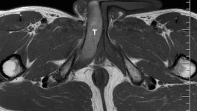
Depois de um treino de corrida, o eslovaco percebeu um caroço no pênis. Na mesma noite, ele começou a ter ereções dolorosas. Os exames mostraram um coágulo de 18 milímetros, e foi diagnosticado com uma trombose parcial nos corpos cavernosos do pênis (tecidos eréteis esponjosos que recebem sangue).
Ele foi tratado com anticoagulantes e analgésicos. A dor diminuiu uma semana depois. O caso foi reportado pela revista americana Urology Case Reports, que afirmou que só há 56 registros desta condição na medicina.
Veja também

Transplante de fezes da mãe deixa homem com sintomas da menopausa; entenda
Três anos depois, exames ainda detectaram um coágulo residual, mas o paciente já estava sem sintomas. Segundo os médicos, casos assim requerem acompanhamento de no mínimo um ano para evitar que o coágulo cause outras complicações. Depois do tratamento, o pênis do homem continuou capaz de manter ereções normalmente.
/i.s3.glbimg.com/v1/AUTH_1f551ea7087a47f39ead75f64041559a/internal_photos/bs/2023/v/N/IJzATrS3yw5huVdP7G4Q/1-s2.0-s2214442023003017-gr2.jpg)
Foto: Reprodução
Curtiu? Siga o PORTAL DO ZACARIAS no Facebook, Twitter e no Instagram
Entre no nosso Grupo de WhatApp e Telegram
Segundo a publicação, este tipo de trombose é mais comum em homens com menos de 30 anos que sofreram microtraumas no órgão. As causas mais frequentes são esportes, atividade sexual e abuso de drogas e álcool.
Fonte: Extra