O aparelho tem capacidade de realizar imagens do cérebro com uma precisão inédita, o que pode ser fundamental para a detecção de doenças
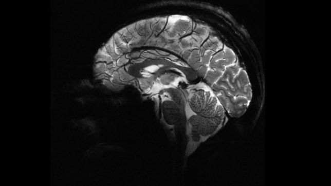
Pesquisadores do Comissariado de Energia Atômica da França (CEA) apresentaram na terça-feira (2/4) as primeiras imagens feitas pelo Iseult, o scanner de ressonância magnética mais potente do mundo. O aparelho tem capacidade de realizar imagens do cérebro com uma precisão inédita, o que pode ser fundamental para a detecção e tratamento de doenças neurológicas.
“Jornalistas franceses foram convidados a acompanhar o lançamento do Iseult, o scanner que revoluciona a ressonância magnética“, diz o jornal La Croix. O diário exalta a tecnologia “que nada tem a ver com as máquinas utilizadas atualmente nos hospitais”.
Com cinco metros de largura por cinco de diâmetro, quase o dobro da dimensão dos aparelhos em operação atualmente, seu campo magnético é inédito: conta com uma potência de 11,7 teslas. A título de comparação, os scanners em funcionamento hoje contam com no máximo 3 teslas.
Veja também

Anatel propõe medida a marketplaces para reduzir contrabando
Polícia dos EUA alerta que AirTags podem ser utilizadas para roubar carros
Segundo o diretor de pesquisas do CEA, Nicolas Boulant, graças a esse imenso campo magnético é possível realizar imagens de uma precisão jamais vista do cérebro humano em apenas quatro minutos. No mapeamento feito pelo Iseult, até mesmo as veias do córtex podem ser observadas.O jornal Le Figaro destaca que o projeto é fruto de uma parceria entre a França e a Alemanha. No total, foram 25 anos de trabalhos conjuntos da ciência e indústria, com um investimento de € 70 milhões.
Foto: Reprodução
Com a descoberta, os pesquisadores esperam agora detectar as atrofias do hipocampo que caracterizam a doença de Alzheimer, por exemplo. Além disso, o Iseult também tem a capacidade de visualizar os neurônios em tempo real, o que pode ajudar a esclarecer várias condições psiquiátricas e doenças neurodegenerativas.
Curtiu? Siga o PORTAL DO ZACARIAS no Facebook, Twitter e no Instagram.
Entre no nosso Grupo de WhatApp, Canal e Telegram
O jornal Le Parisien destaca que, com a revolucionária tecnologia, os pesquisadores esperam também compreender melhor o funcionamento do cérebro durante atividades cotidianas, como durante a leitura de um livro, por exemplo.No entanto, para equipar os hospitais, será preciso esperar ainda alguns anos: por enquanto, o Iseult será utilizado apenas para a pesquisa, até que seja confirmado que a utilização do aparelho não resulta em problemas à saúde
Fonte: Folha