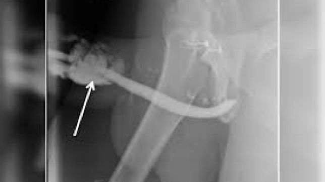
O paciente precisou passar por uma cirurgia de duas horas para retirar os pedaços da escova de dentes do pênis
Um homem de 43 anos, da Indonésia, precisou passar por uma cirurgia após uma escova de dentes quebrar dentro do pênis dele durante uma relação sexual. O objeto foi inserido no órgão sexual pelo próprio paciente.
Os médicos do Hospital Geral Acadêmico Soetomo, na cidade de Surabaya, contam que o homem esperou 12 horas para procurar atendimento médico. Ao chegar ao pronto-socorro, o pênis dele estava muito inchado e disforme.
Ele admitiu para os socorristas que enfiou a escova de dentes no órgão sexual para “satisfação pessoal”. Também acrescentou que já havia feito um pequeno corte no órgão para conseguir inserir objetos no local com mais facilidade.
Veja também

Cadáver é roubado em funeral por causa de dívida
Menina de 10 anos é sacrificada em ritual para curar paralítico, na Índia
Os médicos, no entanto, não informaram se a escova retirada no hospital era nova ou se ela estava alojada no pênis do paciente desde 2017, ano no qual o paciente relatou ter feito o corte.Embora o pênis não tenha ossos, ele possui dois tubos esponjosos chamados de corpos cavernosos, eles se enchem de sangue e endurecem durante as ereções. Uma fratura ocorre quando os corpos cavernosos se rompem.
Curtiu? Siga o PORTAL DO ZACARIAS no Facebook, Twitter e no Instagram.
Entre no nosso Grupo de WhatApp, Canal e Telegram
O indonésio passou por uma cirurgia de duas horas e recebeu alta três dias depois. Na consulta de retorno, um mês depois, ele disse não ter sofrido complicações e conseguir urinar normalmente. O pênis também voltou ao formato original.
Fonte: Metrópoles