Suspeita é que o paciente tenha adquirido o tênia porque costumava ingerir carne de porco mal passada
Um paciente norte-americano, de 52 anos, foi diagnosticado com neurocisticercose, infecção no sistema nervoso central (SNC) provocada pela tênia, parasita também conhecido como solitária.
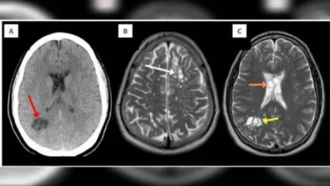
Os médicos encontraram larvas de tênia alojadas no cérebro do paciente, de acordo com o relato de caso e imagens publicadas no American Journal of Case Reports. O paciente vinha se queixando de dores de cabeça insuportáveis há pelo menos quatro meses.
Os médicos que o atenderam consideraram o caso raro e atribuíram a infecção aos hábitos alimentares dele, que disse ter o costume de ingerir bacon e carne de porco mal passada.
Veja também

Americana completa 15 anos alargando as orelhas e ainda lida com haters que a chamam de 'aberração'
Mulher morre após ser infectada com bactéria comedora de carne
A tênia é adquirida pelos humanos quando se come carne de boi ou de porco com larvas do parasita ou embutidos, como salames, chouriço, salsichas e bacon, contaminados. A neurocisticercose é mais comum em áreas onde o saneamento é precário e os porcos são criados em liberdade.
Responsável pelo caso, o infectologista Eamonn Byrnes, do Centro Médico Regional de Orlando, em Miami, acredita que a situação foi de autoinfecção, quando o paciente ingere ovos do parasita após lavagem inadequada das mãos. “O consumo de carne suína mal cozida é um fator de risco para adquirir neurocisticercose por autoinfecção, como suspeitamos neste caso”, esclarece Byrnes.
Após o diagnóstico, o americano fez o tratamento à base de dexametasona, esteroide frequentemente usado para tratar alergias, e de albendazol, usado para conter parasitas. De acordo com os médicos, as lesões no cérebro diminuíram e as dores de cabeça melhoraram após o tratamento.
A equipe que atendeu o paciente destacou a necessidade de os médicos avaliarem a possibilidade de neurocisticercose nos casos de dores de cabeça inexplicáveis. “Este caso ilustra que a neurocisticercose deve ser considerada quando uma condição neuropatológica existente apresenta uma mudança na apresentação ou requer uma mudança no manejo terapêutico”, completa.
Curtiu? Siga o PORTAL DO ZACARIAS no Facebook, Twitter e no Instagram.
Entre no nosso Grupo de WhatApp, Canal e Telegram
COMO PREVENIR A CISTICERCOSE:
Comer carnes e seus derivados bem cozidos;
Usar somente água filtrada ou fervida para beber;
Lavar bem as verduras antes de serem consumidas;
Lavar as mãos antes das refeições, de preparar alimentos e após o uso do sanitário;
Fazer exames periódicos de fezes;
Criar os porcos longe de valas de esgoto, águas e solos onde existam fezes humanas.
Fonte: Metrópoles