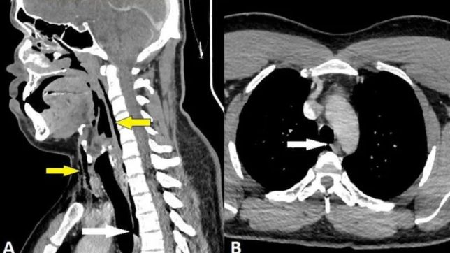
Paciente tinha rinite e, para não espirrar, apertou o nariz e fechou a boca – o que aumenta em até 20 vezes a pressão interna
Segurar um espirro pode levar a consequências graves e inesperadas para a saúde. É o que mostram pesquisadores do Reino Unido, que publicaram na revista científica BMJ Case Reports o relato de um caso em que o paciente sofreu uma perfuração na traqueia – espécie de tubo em que o ar passa em direção aos pulmões – devido à pressão do momento.
O acontecimento é raro, e os médicos estimam que esse seja o primeiro relato oficial do tipo. Eles escrevem que, geralmente, a pressão nas vias aéreas superiores durante um espirro é de 1 a 2 kPa (quilopascal, unidade padrão de pressão); entretanto, “se a boca e o nariz estiverem fechados, a pressão pode aumentar em até 20 vezes”.
“Suspeitamos que a traqueia (do paciente) tenha sido perfurada devido ao rápido aumento de pressão na traqueia ao espirrar com o nariz comprimido e a boca fechada. (...) Todos devem ser orientados a não abafar os espirros apertando o nariz e mantendo a boca fechada, pois isso pode resultar em perfuração traqueal, conforme relatado aqui”, escrevem.
Veja também

Homem 'abduzido por ETs' há 50 anos diz ter alertado mundo sobre Covid
Ímã-humano: iraniano bate recorde mantendo 85 colheres coladas ao corpo
No caso, um homem de 30 anos com rinite alérgica sentiu fortes dores no pescoço imediatamente depois de um episódio em que segurou espirros. No momento, ele estava dirigindo com um cinto de segurança. Ao sentir o incômodo, buscou a emergência hospitalar.
Um exame de tomografia computadorizada de pescoço e tórax revelou uma ruptura na traqueia de 2 mm x 2 mm x 5 mm com pneumomediastino (presença de ar no espaço existente entre os dois pulmões). Ele foi tratado com analgésicos para a dor e antialérgicos para a rinite.
“Os cirurgiões cardiotorácicos foram contatados para obter opinião e considerou-se que nenhuma intervenção cirúrgica foi indicada, pois o paciente estava sistemicamente bem, com frequência cardíaca e respiratória normais, pressão arterial, saturação de oxigênio e temperatura corporal normais”, escrevem os médicos.
O homem permaneceu internado em observação por 48 horas, período em que não precisou de intervenções adicionais. Ao fim, recebeu alta com indicação de uso de analgésicos, tratamento prolongado para rinite alérgica e orientação para evitar atividades físicas e segurar espirros por duas semanas.
Curtiu? Siga o PORTAL DO ZACARIAS no Facebook, Twitter e no Instagram.
Entre no nosso Grupo de WhatApp e Telegram
Cinco semanas depois, uma nova tomografia computadorizada revelou a resolução do problema, sem a ruptura na traqueia ou qualquer outra anormalidade.
Fonte: O Globo