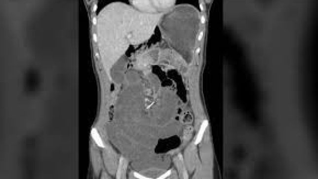
Devido às perfurações, o intestino estava revirado, causando um quadro clínico chamado vólvulo gástrico
Após sentir fortes dores e câimbras abdominais, uma mulher australiana foi levada ao hospital, onde foram descobertos vestígios de um aparelho ortodôntico em seu intestino delgado, dez anos depois da vítima ter deixado de utilizar a peça para a correção dos dentes.
Uma tomografia revelou a presença de um fio de metal e mostrou que o objeto já havia atingido vários pontos do órgão. Devido às perfurações, o intestino estava revirado, causando um quadro clínico chamado vólvulo gástrico, caracterizado pela movimentação do órgão ao girar em torno do seu próprio eixo.
Veja também

Homem dirige até hospital com prego fincado no coração
Considerando as constantes dores da mulher, a equipe médica resolver realizar um procedimento cirúrgico de emergência. Ao final, o fio metálico, de sete centímetros, foi retirado. Para Talia Shepherd, uma das médicas responsáveis pelo caso, acidentes desse tipo são muito raros e incomuns.
O caso foi registrado no dia 7 de agosto de 2017 no diário clínico BMJ Case Reports.
Curtiu? Siga o PORTAL DO ZACARIAS no Facebook, Twitter e no Instagram.
Entre no nosso Grupo de WhatApp, Canal e Telegram
Fonte: CNN