Semelhante a um cálculo renal, mas extremamente rara, pedra foi formada por acúmulo de urina em libanesa de 27 anos que tem paralisia cerebral
Uma mulher libanesa de 27 anos foi levada às pressas para o hospital após sentir fortes dores abdominais por três dias. Chegando ao pronto-socorro, ela foi submetida a uma radiografia e uma tomografia computadorizada que apontaram haver uma grande pedra dentro de sua cavidade vaginal. O caso foi descrito na revista científica Urology Case Reports por cientistas do departamento de urologia do Hospital AL-Zahraa, de Beirute, e da Lebanese University.
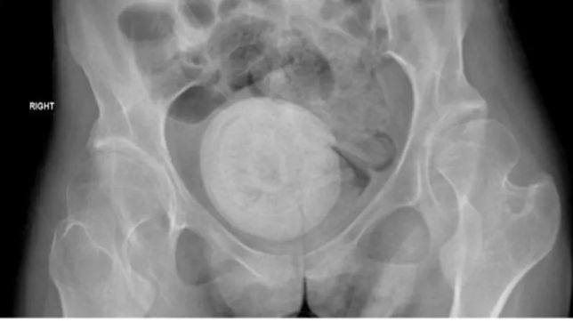
A paciente tem paralisia cerebral e foi levada ao hospital por seus pais. Além das dores abdominais, ela também teve febre, calafrios, vômitos e diminuição do apetite. Os exames de imagem mostraram uma estrutura redonda calcificada na pelve ocupando espaço entre a bexiga e o reto, provavelmente empurrando para cima o útero ocupando o espaço vaginal, medindo 9 × 10 cm.
A jovem foi submetida a um tratamento para combater uma infecção decorrente da formação da pedra em seu corpo. Semanas depois, os médicos realizaram um procedimento com laser por três horas para quebrar a pedra em pequenos fragmentos, que foram retirados da vagina com uma pinça.
Veja também

Brasileiros passam a ter o 20º maior pênis do mundo, segundo ranking de 2023; veja quem é o 1º lugar
Alicudi: a ilha italiana onde mulheres podem voar
/i.s3.glbimg.com/v1/AUTH_da025474c0c44edd99332dddb09cabe8/internal_photos/bs/2023/T/o/M4TJUXSxO7REpj9Pp9Bg/pedra-encontrada-em-vagina-da-mulher-2-.jpg)
No estudo de caso publicado na revista científica, os pesquisadores descreveram que a mulher teve um caso de cálculo vaginal — que é extremamente raro. Por ter paralisia cerebral, a paciente vivia acamada e tinha histórico de incontinência urinária, situação que contribuiu para a formação da pedra, segundo os cientistas. A principal causa da formação do tipo de cálculo encontrado na jovem é a estagnação da urina.
Em pacientes que têm incontinência urinária e passam muito tempo acamados, as inúmeras perdas involuntárias da urina pela uretra podem causar o problema. O líquido escorre da uretra, entra e se acumula na vagina. A urina, então, começa a formar cristais endurecidos, que continuam a crescer. Isso normalmente ocorre por conta de uma infecção urinária bacteriana não tratada.
/i.s3.glbimg.com/v1/AUTH_da025474c0c44edd99332dddb09cabe8/internal_photos/bs/2023/Z/v/ngApNcT92IU0c1WagDpg/pedra-encontrada-em-vagina-da-mulher-quebrada-por-laser.jpg)
Foto: Reprodução
Os cálculos renais, as famosas pedras nos rins, também são originadas pela aglutinação de cristais endurecidos. Eles sim têm uma frequência maior de ocorrência e são mais descritos na literatura médica.
Curtiu? Siga o PORTAL DO ZACARIAS no Facebook, Twitter e no Instagram
Entre no nosso Grupo de WhatApp e Telegram
"Os cálculos vaginais são raros. Pacientes com paralisia cerebral com posição reclinada prolongada e incontinência urinária correm risco de desenvolvê-las. O diagnóstico é muitas vezes desafiador devido à apresentação vaga e à diminuição da capacidade de expressão nesses pacientes. Assim, um exame ginecológico deve ser realizado rotineiramente e complementado por radiografia abdominal quando há suspeita de cálculo vaginal", escreveram os pesquisadores no estudo. "Destacamos o uso do nefroscópio com aparelho de ultrassom endoscópico nesses casos, pois realiza um perfil mais seguro, menos invasivo e mais adequado em pacientes com necessidades especiais. Finalmente, como a incontinência urinária é o fator chave para a formação de cálculos vaginais, o controle da incontinência é uma medida que pode ser tomada. As opções de tratamento incluem: treinamento em incontinência, medicamentos, uroterapia, injeções de Botox, cateterismo intermitente".
Fonte: O Globo