Os médicos então voltaram para ver o histórico médico do paciente
O problema é que o sintoma é comum e pode ser causado por inúmeros fatores, como: uso excessivo devido a exercícios, má circulação, danos nos nervos causados por condições como diabetes (neuropatia periférica), problemas na coluna como hérnia de disco, perda muscular relacionada à idade e condições médicas graves como derrame ou esclerose múltipla.
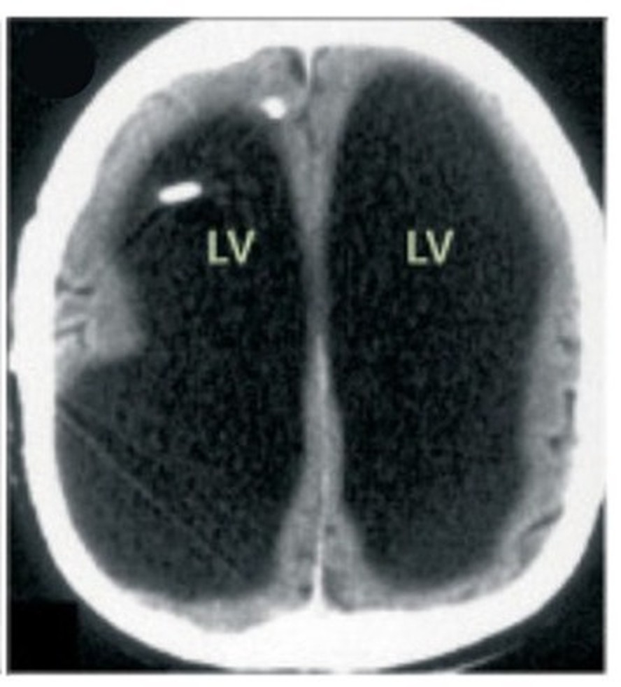
Depois que os médicos realizaram tomografias e ressonâncias, pois acreditavam que o paciente pudesse ter uma condição neurológica que estava afetando suas terminações nervosas, descobriram que, diferente do que pensavam, ele na verdade tinha uma enorme bolsa de líquido onde seu cérebro deveria estar.
Nas imagens de seu cérebro, compartilhadas com o periódico médico The Lancet, a parte principal de sua área cerebral aparece preta, que é onde havia acúmulo de fluido. Isso fez com que seu cérebro se espremesse em uma camada estreita, que pressionava a borda do crânio.
Veja também

Esse é o robô humanoide mais assustador que você já viu
Influencer revela ter fobia a ketchup: 'Como ser mantida sob a mira de uma arma'
Ele então foi diagnosticado com um caso grave de hidrocefalia. Os médicos então voltaram para ver o histórico médico do paciente. Aos seis meses de idade, ele passou por uma derivação ventrículo-atrial devido a uma causa desconhecida.
Uma derivação ventrículo-atrial é um dispositivo cirúrgico que trata a hidrocefalia — uma condição em que há muito líquido cefalorraquidiano no cérebro — desviando o excesso de líquido para o coração.
/i.s3.glbimg.com/v1/AUTH_da025474c0c44edd99332dddb09cabe8/internal_photos/bs/2025/q/2/U83kZzTEG3E5DQMd9p5g/whatsapp-image-2025-02-22-at-12.02.23.jpeg)
Foto: Reprodução
Aos 14 anos, ele desenvolveu ataxia (baixo controle muscular) e paresia (perda parcial da força muscular) na perna esquerda. A derivação foi ajustada, o que resolveu completamente seus sintomas. Entretanto, os sinais ressurgiram na idade adulta e os médicos determinaram que ele tinha um tipo de hidrocefalia causada por um bloqueio em uma das vias de drenagem do cérebro.
Apesar do caso ter sido relatado em 2007, ele voltou recente nas redes sociais. Lionel Feuillet, neurologista da Universidade Mediterrânea de Marselha, disse na época em que o relato do caso foi publicado que a equipe médica ficou “muito surpresa quando o paciente foi examinado pela primeira vez na tomografia computadorizada. O cérebro era muito menor que o normal. Este caso é único em nosso conhecimento”, diz.
Curtiu? Siga o PORTAL DO ZACARIAS no Facebook, Twitter e no Instagram.
Entre no nosso Grupo de WhatApp, Canal e Telegram
Após o tratamento, no qual os médicos criaram uma nova rota de drenagem para o fluido, o homem se recuperou completamente, embora exames de acompanhamento não tenham mostrado nenhuma alteração no tamanho de seu cérebro.
Fonte: O Globo