O que ela jamais imaginou foi que a cirurgia mudaria sua vida para sempre
A jovem foi ao hospital para tratar uma gravidez ectópica, uma condição em que o embrião se desenvolve fora do útero; no caso dela, o embrião estava localizado na trompa direita. O que ela jamais imaginou foi que a cirurgia mudaria sua vida para sempre.
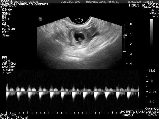
A história começou quando Santos sentiu dores no lado direito do abdômen, o que a levou a procurar atendimento de emergência. Após realizar uma ultrassonografia, os médicos confirmaram que o feto estava do lado direito, o que motivou a internação para cirurgia.
No entanto, ao sair da operação, ela percebeu que algo não estava certo, pois a cirurgia havia sido feita no lado esquerdo, apesar de a ultrassonografia indicar que o problema estava na trompa direita. Nenhuma explicação sobre o ocorrido foi dada a ela.
Veja também

Professor de canto dava ''chá de sêmen'' a alunas para melhorar voz
Homem conta ter contraído infecção que resultou em derrames e insuficiência cardíaca após roer unhas
Apesar da cirurgia equivocada, Carina recebeu alta após 48 horas de recuperação. Contudo, 17 dias depois, os sintomas reapareceram, e ela não entendia o que estava acontecendo. Foi então que descobriu que o feto ainda estava se desenvolvendo e já estava com 10 semanas de gestação.
Os médicos precisaram operá-la novamente para retirar a trompa direita, que era a afetada desde o início. Carina, entretanto, não compreendia o que estava se passando, pois acreditava que a trompa já havia sido removida na primeira cirurgia. Buscando explicações, ela solicitou o laudo anatômico ao hospital, onde constava que a amostra retirada da trompa esquerda não era compatível com um diagnóstico de gravidez ectópica.

Foto: Reprodução
Isso levantou dúvidas sobre se a primeira cirurgia realmente havia retirado o embrião que se desenvolvia fora do útero. Esse erro médico trouxe consequências devastadoras para Carina, que perdeu ambas as trompas de Falópio, impossibilitando-a de conceber de maneira natural.
Curtiu? Siga o PORTAL DO ZACARIAS no Facebook, Twitter e no Instagram.
Entre no nosso Grupo de WhatApp, Canal e Telegram
Assim, ela descobriu que não poderia mais ter filhos. Ao reconhecer o erro, o hospital emitiu um relatório confirmando que a trompa de Falópio esquerda não apresentava sinais de gravidez ectópica. Além disso, anunciou que abrirá uma investigação interna para esclarecer os fatos e apurar responsabilidades.
Fonte: R7