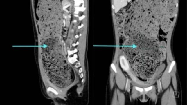
Uma tomografia computadorizada revelou que o intestino da jovem de 25 anos estava completamente obstruído por fezes acumuladas
Uma mulher precisou ser internada nos Estados Unidos após passar quatro meses sem conseguir evacuar. Com histórico de constipação desde a infância, ela só buscou ajuda médica quando as dores abdominais e o inchaço se tornaram insuportáveis. O caso foi descrito pelos profissionais de saúde em um artigo publicado no Cureus Journal of Medical Science.
A paciente de 25 anos relatou que sentia dores há semanas e não conseguia evacuar nem mesmo com o uso de laxantes, enemas ou medicamentos de venda livre. Contudo, em intervalos de algumas semanas, ela apresentava vazamento involuntário de fezes líquidas, um sintoma comum da impactação fecal.
Os exames clínicos iniciais não indicaram sinais vitais alterados, mas o teste físico revelou um abdômen extremamente endurecido. Os médicos descreveram a textura da região como “argila densa e úmida”, resultado do acúmulo extremo de fezes no trato gastrointestinal.
Veja também

Corpo de homem desaparecido há 28 anos é encontrado após geleira derreter
Americana ganha R$ 22 mil por mês vendendo leite materno para fisiculturistas
Uma tomografia computadorizada confirmou a gravidade do quadro ao mostrar que o intestino da jovem estava completamente obstruído por fezes acumuladas. A equipe médica também identificou um cólon sigmoide redundante, estrutura anatomicamente mais longa que o habitual, com 15 cm de diâmetro, o que favorece episódios persistentes de constipação.
Mesmo diante da gravidade do caso, a paciente recusou a cirurgia para remoção de parte do intestino, que havia sido sugerida como solução definitiva, e preferiu seguir com um tratamento menos invasivo. Ela passou por sessões de desimpactação manual, procedimento feito sob anestesia para retirada das fezes endurecidas.
O método precisou ser repetido algumas vezes, já que nem as lavagens intestinais foram suficientes para amolecer o material acumulado.
Durante a internação, ela foi colocada em uma dieta líquida e passou a tomar laxantes potentes. Em pouco tempo, conseguiu evacuar 21 vezes e perdeu 4,5 kg, passando de 58,4 kg para 53,9 kg.
Curtiu? Siga o PORTAL DO ZACARIAS no Facebook, Twitter e no Instagram
Entre no nosso Grupo de WhatApp, Canal e Telegram
Após receber alta, ela foi orientada a continuar com o tratamento intestinal e comparecer a uma consulta com especialistas em gastroenterologia e cirurgia colorretal. No entanto, não voltou para o acompanhamento médico.
Fonte: Metrópoles